Meny
Tannlege Kristoffer Øvstetun
Meny
  • Hjem
  • Om meg
  • Tannhelseinfo
    • Undersøkelse hos tannlegen

      • Undersøkelse hos tannlegen
      • Sykdom i munnhulen
      • Kostbart hos tannlegen?
      • Helfo - Stønad til tannbehandling
    • Hull i tennene

      • Karies - Hull i tennene
      • Fyllingsterapi
      • Porselensinnlegg
      • Trinnvis ekskavering
    • Estetisk tannbehandling

      • Puss og poléring
      • Tannbleking
      • Utskifting av synlige fyllinger
      • Fasetter
      • Estetisk kroneterapi
    • Kroner / broer

      • Krone
      • Bro
      • Stift / Krone
    • Implantater

    • Proteser

      • Helprotese
      • Delprotese
    • Rotfyllinger

      • Betennelse i nerven
      • Rotfylling
      • Reinfisert rotfylling
      • Rotspissamputasjon
    • Tannkjøttsbehandling

      • Gingivitt
      • Periodontitt
    • Tanntrekking / kirurgi

      • Informasjon før behandling
      • Informasjon etter behandling
    • Vanlige problemer

      • Visdomstenner
      • Ising / børsteskader
      • Syreskader
      • Tanngnissing
      • Tannfraktur
      • Infraksjoner
      • Renhold av tennene
      • Dårlig ånde
      • Munntørrhet
      • Kjeveleddsproblemer
      • Herpes munnsår
      • After
      • Røyking
      • Snus
      • Amalgam
      • Tannlegeskrekk
    • Tenner og graviditet

    • Barn og tannbehandling

      • Første møte med tannlegen
      • Barn og munnstell
      • Tannfrembrudd
      • Traumer mot tenner
    • Tannregulering

      • Tannstillingsfeil
      • Tannregulering
  • Kontakt
    • Hjem
    • Om meg
    • Tannhelseinfo
      • Undersøkelse hos tannlegen

        • Undersøkelse hos tannlegen
        • Sykdom i munnhulen
        • Kostbart hos tannlegen?
        • Helfo - Stønad til tannbehandling
      • Hull i tennene

        • Karies - Hull i tennene
        • Fyllingsterapi
        • Porselensinnlegg
        • Trinnvis ekskavering
      • Estetisk tannbehandling

        • Puss og poléring
        • Tannbleking
        • Utskifting av synlige fyllinger
        • Fasetter
        • Estetisk kroneterapi
      • Kroner / broer

        • Krone
        • Bro
        • Stift / Krone
      • Implantater

      • Proteser

        • Helprotese
        • Delprotese
      • Rotfyllinger

        • Betennelse i nerven
        • Rotfylling
        • Reinfisert rotfylling
        • Rotspissamputasjon
      • Tannkjøttsbehandling

        • Gingivitt
        • Periodontitt
      • Tanntrekking / kirurgi

        • Informasjon før behandling
        • Informasjon etter behandling
      • Vanlige problemer

        • Visdomstenner
        • Ising / børsteskader
        • Syreskader
        • Tanngnissing
        • Tannfraktur
        • Infraksjoner
        • Renhold av tennene
        • Dårlig ånde
        • Munntørrhet
        • Kjeveleddsproblemer
        • Herpes munnsår
        • After
        • Røyking
        • Snus
        • Amalgam
        • Tannlegeskrekk
      • Tenner og graviditet

      • Barn og tannbehandling

        • Første møte med tannlegen
        • Barn og munnstell
        • Tannfrembrudd
        • Traumer mot tenner
      • Tannregulering

        • Tannstillingsfeil
        • Tannregulering
    • Kontakt
    Undervalg +
    • Undersøkelse hos tannlegen
    • Hull i tennene
    • Estetisk tannbehandling
      • Puss og poléring
      • Tannbleking
      • Utskifting av synlige fyllinger
      • Fasetter
      • Estetisk kroneterapi
    • Kroner / broer
    • Implantater
    • Proteser
    • Rotfyllinger
    • Tannkjøttsbehandling
    • Tanntrekking / kirurgi
    • Vanlige problemer
    • Tenner og graviditet
    • Barn og tannbehandling
    • Tannregulering
    55 90 14 26
    Hjem / Tannhelseinfo / Estetisk tannbehandling / Puss og poléring

    Puss og poléring

    Mye av det vi inntar i det daglige kan misfarge tennene. Dette gjelder for eksempel kaffe, te, røyk, snus og rødvin. Slike misfarginger legger seg som et mørkt belegg på tennenes overflate og kan være vanskelige å fjerne selv.



    Tannlegen eller tannpleieren har mulighet til å fjerne overfladiske misfarginger ved å pusse og polere tennene. Det brukes da vanligvis en spesiell pussepasta med ekstra slipemiddel. Alternativt går det an å benytte saltblåsing for å fjerne misfargingene. Det er også normalt at man samtidig fjerner tannsten, ettersom misfarging også setter seg her.

    Selv om tennene kan virke lysere etter puss og polering, er det ikke tennenes egentlige farge som er endret. Dersom man ønsker lysere tenner, må dette gjøres med tannbleking.

    Ønsker du mindre misfarging på tennene?
    Det mest åpenbare man kan gjøre for å få mindre misfarging på tennene, er å redusere inntaket av matvarer som misfarger, kaffe, te, røyk, snus osv. I tillegg vil grundig renhold redusere dannelsen av nye misfarginger. Her vil en elektrisk tannbørste være særlig effektiv. Det finnes også spesialtannkremer som inneholder ekstra slipemiddel. Slike tannkremer bør man være forsiktig med å bruke, da overdrevet bruk kan gi slitasjeskader på tennene.
    • puss klinisk 2
      puss klinisk 2

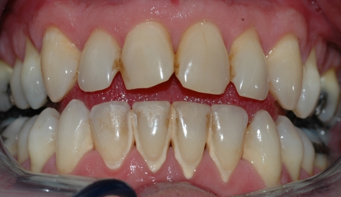
      Her kan man se misfarging og tannsten på tennenes fremside.

    • puss klinisk 1
      puss klinisk 1

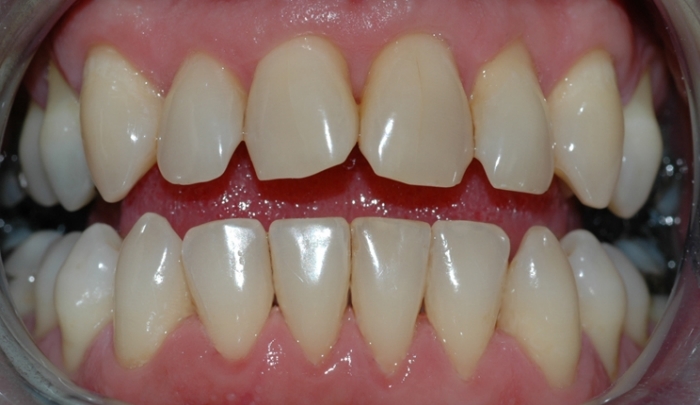
      Etter puss og polering har tennene fått tilbake sin rene, glatte overflate.

    • puss klinisk 3
      puss klinisk 3

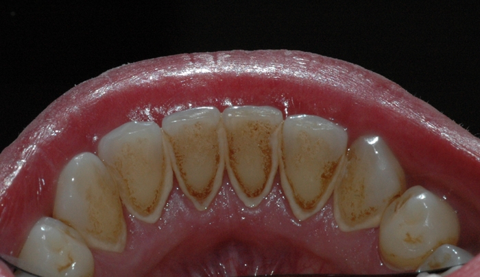
      Her kan man se misfarging og tannsten på tennenes innside.

    • puss klinisk 4
      puss klinisk 4

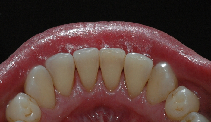
      Etter puss og polering har tennene fått tilbake sin rene, glatte overflate.

    close
    Puss og polering
     
    Implantater
     
    Utskifting av fyllinger
     
    Undersøkelse hos tannlegen
     
    Tannpleierens oppgaver
     
    Tannbleking
     
    Sykdom i munnhulen
     
    Skader etter snus
     
    Røykeslutt
     
    Krone
     
    Herpes
     
    Helfo
     
    Graviditet og tannbehandling
     
    Graviditet og munnhygiene
     
    Broer
     
    After
     
    Dårlig ånde
     
    Tannbørsten
     
    Hjelpemidler i hverdagen
     
    Karies (Hull i tennene)
     
    Tanngnissing
     
    Periodontitt
     
    Syreskader
     
    Visdomstenner
     
    Ising/børsteskader
     
    Gingivitt
     
    Rotfylling
     
    Skriv ut
    Sidekart
    • Hjem
    • Om meg
    • Tannhelseinfo
    • Kontakt
    Kontakt
    Markeveien 4C
    5012 Bergen

    Tlf: 55 90 14 26
    post@tannlege-ovstetun.no

    Googlemap
    Søk
    Copyright 2015 Tannlege Kristoffer Øvstetun | post@tannlege-ovstetun.no
    Webdesign og webutvikling av A2N Digitalbyrå/ Reklamebyrå