Meny
Tannlege Kristoffer Øvstetun
Meny
  • Hjem
  • Om meg
  • Tannhelseinfo
    • Undersøkelse hos tannlegen

      • Undersøkelse hos tannlegen
      • Sykdom i munnhulen
      • Kostbart hos tannlegen?
      • Helfo - Stønad til tannbehandling
    • Hull i tennene

      • Karies - Hull i tennene
      • Fyllingsterapi
      • Porselensinnlegg
      • Trinnvis ekskavering
    • Estetisk tannbehandling

      • Puss og poléring
      • Tannbleking
      • Utskifting av synlige fyllinger
      • Fasetter
      • Estetisk kroneterapi
    • Kroner / broer

      • Krone
      • Bro
      • Stift / Krone
    • Implantater

    • Proteser

      • Helprotese
      • Delprotese
    • Rotfyllinger

      • Betennelse i nerven
      • Rotfylling
      • Reinfisert rotfylling
      • Rotspissamputasjon
    • Tannkjøttsbehandling

      • Gingivitt
      • Periodontitt
    • Tanntrekking / kirurgi

      • Informasjon før behandling
      • Informasjon etter behandling
    • Vanlige problemer

      • Visdomstenner
      • Ising / børsteskader
      • Syreskader
      • Tanngnissing
      • Tannfraktur
      • Infraksjoner
      • Renhold av tennene
      • Dårlig ånde
      • Munntørrhet
      • Kjeveleddsproblemer
      • Herpes munnsår
      • After
      • Røyking
      • Snus
      • Amalgam
      • Tannlegeskrekk
    • Tenner og graviditet

    • Barn og tannbehandling

      • Første møte med tannlegen
      • Barn og munnstell
      • Tannfrembrudd
      • Traumer mot tenner
    • Tannregulering

      • Tannstillingsfeil
      • Tannregulering
  • Kontakt
    • Hjem
    • Om meg
    • Tannhelseinfo
      • Undersøkelse hos tannlegen

        • Undersøkelse hos tannlegen
        • Sykdom i munnhulen
        • Kostbart hos tannlegen?
        • Helfo - Stønad til tannbehandling
      • Hull i tennene

        • Karies - Hull i tennene
        • Fyllingsterapi
        • Porselensinnlegg
        • Trinnvis ekskavering
      • Estetisk tannbehandling

        • Puss og poléring
        • Tannbleking
        • Utskifting av synlige fyllinger
        • Fasetter
        • Estetisk kroneterapi
      • Kroner / broer

        • Krone
        • Bro
        • Stift / Krone
      • Implantater

      • Proteser

        • Helprotese
        • Delprotese
      • Rotfyllinger

        • Betennelse i nerven
        • Rotfylling
        • Reinfisert rotfylling
        • Rotspissamputasjon
      • Tannkjøttsbehandling

        • Gingivitt
        • Periodontitt
      • Tanntrekking / kirurgi

        • Informasjon før behandling
        • Informasjon etter behandling
      • Vanlige problemer

        • Visdomstenner
        • Ising / børsteskader
        • Syreskader
        • Tanngnissing
        • Tannfraktur
        • Infraksjoner
        • Renhold av tennene
        • Dårlig ånde
        • Munntørrhet
        • Kjeveleddsproblemer
        • Herpes munnsår
        • After
        • Røyking
        • Snus
        • Amalgam
        • Tannlegeskrekk
      • Tenner og graviditet

      • Barn og tannbehandling

        • Første møte med tannlegen
        • Barn og munnstell
        • Tannfrembrudd
        • Traumer mot tenner
      • Tannregulering

        • Tannstillingsfeil
        • Tannregulering
    • Kontakt
    Undervalg +
    • Undersøkelse hos tannlegen
    • Hull i tennene
    • Estetisk tannbehandling
    • Kroner / broer
    • Implantater
    • Proteser
    • Rotfyllinger
    • Tannkjøttsbehandling
      • Gingivitt
      • Periodontitt
    • Tanntrekking / kirurgi
    • Vanlige problemer
    • Tenner og graviditet
    • Barn og tannbehandling
    • Tannregulering
    55 90 14 26
    Hjem / Tannhelseinfo / Tannkjøttsbehandling / Gingivitt

    Gingivitt

    Hva er gingivitt?
    Gingivitt er en betennelse i tannkjøttet (gingiva).



    Tegn på gingivitt.
    Et friskt tannkjøtt har lys rød farge og ligger stramt inntil tennene (fig I). Et betent tannkjøtt får en mørkere rødfarge, det blir hovent og kan føles ømt ved berøring (fig. 2). Videre vil man kunne oppleve at tannkjøttet blør ved rengjøring og at det ligger mindre stramt inntil tennene.

    Hvordan oppstår gingivitt?
    Mangelfullt renhold kan over tid føre til utvikling av gingivitt. Dette skyldes bakterier og mykt belegg (plakk) som blir liggende i tannkjøttskanten.

    Om man danner mye tannstein, vil også dette kunne medvirke til utvikling av gingivitt. Det er særlig vanlig at gingivitt oppstår mellom tennene og ellers der det er vanskelig å holde rent.

    Hvordan kan man forhindre gingivitt?
    Gingivitt er en reversibel tilstand og grundig renhold kan gjøre tannkjøttet friskt igjen:


    • Man bør bruke tannbørsten nøye, men skånsomt i tannkjøttskanten, slik at tannkjøttet ikke skades og trekker seg tilbake. En slitt tannbørste er lite effektiv. Bytt derfor børstennår busten spriker.

    • Mye plakk og bakterier samler seg mellom tennene. Rengjør derfor mellom tennene minst en gang per dag. Dersom tennene står tett, vil tanntråd være et effektivt hjelpemiddel. For å komme til mellom jekslene, kan det med fordel brukes en tanntrådholder. Ved større mellomrom mellom tennene, vil mellomromsbørster egne seg best. Disse kommer i ulike størrelser og brukes på tilsvarende måte som tannstikker.

    • Rutinemessig tannrengjøring hos tannlege eller tannpleier er også nødvendig for å sikre friske forhold i tannkjøttet. Hvor ofte dette bør gjøres er individuelt og avhenger av hvor fort plakk og tannstein dannes.
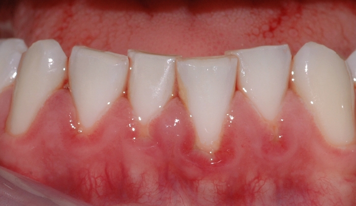
    • gingivitt Pasient 1 1
      gingivitt Pasient 1 1

      Bildet viser belegg langs tannkjøttet på en fortann i underkjeven. Tannkjøttet er noe rødt og hovent.

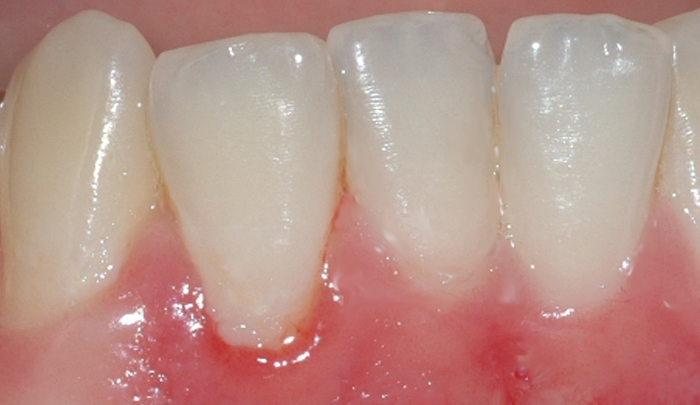
    • gingivitt Pasient 1 2
      gingivitt Pasient 1 2

      Når man berører tannkjøttet, begynner det lett å blø.

    • gingivitt Pasient 1 3
      gingivitt Pasient 1 3

      Ved å benytte et fargestoff, kan man lettere se belegget som er årsak til betennelsen i tannkjøttet.

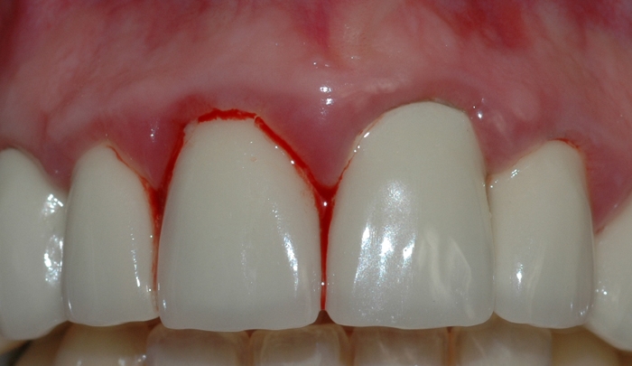
    • gingivitt pasient 2 1
      gingivitt pasient 2 1

      Bildet viser tannkjøtt i overkjeven med kraftigere og mer utbredt betennelse.

    • gingivitt pasient 2 2
      gingivitt pasient 2 2

      Tannkjøttet begynner lett å blø ved berøring.

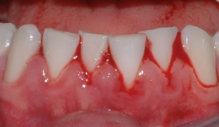
    • gingivitt pasient 3 1
      gingivitt pasient 3 1

      Bildet viser hvordan belegg har ført til rødt og hovent tannkjøtt ved flere tenner.

    • gingivitt pasient 3 2
      gingivitt pasient 3 2

      Tannkjøttet blør kraftig når pasienten pusser tennene. Ved godt renhold over tid, vil betennelsen forsvinne.

    close
    Gingivitt
     
    Implantater
     
    Utskifting av fyllinger
     
    Undersøkelse hos tannlegen
     
    Tannpleierens oppgaver
     
    Tannbleking
     
    Sykdom i munnhulen
     
    Skader etter snus
     
    Røykeslutt
     
    Puss og polering
     
    Krone
     
    Herpes
     
    Helfo
     
    Graviditet og tannbehandling
     
    Graviditet og munnhygiene
     
    Broer
     
    After
     
    Dårlig ånde
     
    Tannbørsten
     
    Hjelpemidler i hverdagen
     
    Karies (Hull i tennene)
     
    Tanngnissing
     
    Periodontitt
     
    Syreskader
     
    Visdomstenner
     
    Ising/børsteskader
     
    Rotfylling
     
    Skriv ut
    Sidekart
    • Hjem
    • Om meg
    • Tannhelseinfo
    • Kontakt
    Kontakt
    Markeveien 4C
    5012 Bergen

    Tlf: 55 90 14 26
    post@tannlege-ovstetun.no

    Googlemap
    Søk
    Copyright 2015 Tannlege Kristoffer Øvstetun | post@tannlege-ovstetun.no
    Webdesign og webutvikling av A2N Digitalbyrå/ Reklamebyrå