Følsomme tannhalser
Mange er i perioder plaget med ising i tennene. Den vanligste årsaken til slike plager er følsomme tannhalser.
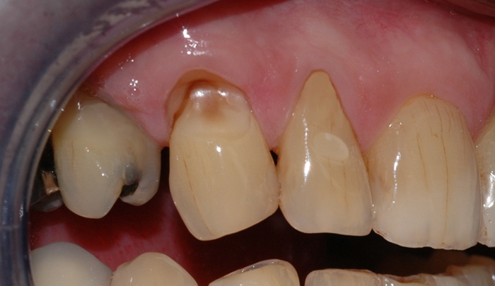
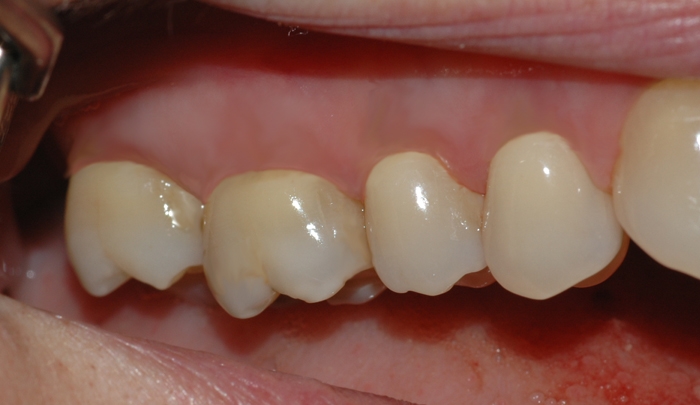
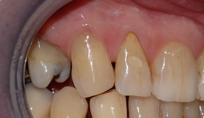
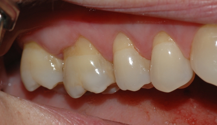
Figur I viser en tann i snitt med normale tannkjøttsforhold. Vi ser at tannkjøttet ligger tett inntil tannkronen. Feil bruk av tannbørsten kan over tid få tannkjøttet til å trekke seg tilbake (fig. II). Den blottlagte rotoverflaten er ikke beskyttet av emalje, og vil ofte være følsom for kaldt, syrlig eller ved berøring, for eksempel ved tannbørsting.
 |
|  |
|  |
|  |
| figur I |
| figur II |
| figur III |
| figur IV |
På lengre sikt kan feil børsteteknikk medføre slitasjeskader på selve tannen (fig III). Dersom skaden blir dyp, kan det bli nødvendig å restaurere tannen med en fylling (fig IV).
For å lindre følsomme tannhalser kan man:


Børste skånsomt og bruke mykere tannbørste.
Skylle med fluorskyll daglig.
Bruke spesialtannkrem mot ising. Tannlegen eller tannpleieren kan komme med gode råd om hvilken tannkrem som bør benyttes.
Ikke skylle ut tannkremen etter børsting, men la den virke i munnen.
Smøre spesialtannkrem mot ising på den følsomme tannhalsen, og la den virke på tannen.
Få behandlet tannhalsen med effektiv fluorlakk hos tannlege eller tannpleier.
Andre årsaker til ising i tennene:
Dype eller utette fyllinger, større kariesangrep og sprekkdannelser i tennene kan også medføre ising. Det samme kan slitasjepunkter der emaljen er slitt bort. Ofte vil tannlegen kunne løse problemet ved å legge en tett fylling i tannen. Eventuelle slitasjepunkter kan også fylles igjen, eller behandles med fluorlakk.
Dersom nerven i en tann er svært skadet, kan det forekomme at isingen ikke vil gi seg, selv etter behandling med fylling og fluor. Det kan da være nødvendig å rotfylle tannen for å løse problemet.