Meny
Tannlege Kristoffer Øvstetun
Meny
  • Hjem
  • Om meg
  • Tannhelseinfo
    • Undersøkelse hos tannlegen

      • Undersøkelse hos tannlegen
      • Sykdom i munnhulen
      • Kostbart hos tannlegen?
      • Helfo - Stønad til tannbehandling
    • Hull i tennene

      • Karies - Hull i tennene
      • Fyllingsterapi
      • Porselensinnlegg
      • Trinnvis ekskavering
    • Estetisk tannbehandling

      • Puss og poléring
      • Tannbleking
      • Utskifting av synlige fyllinger
      • Fasetter
      • Estetisk kroneterapi
    • Kroner / broer

      • Krone
      • Bro
      • Stift / Krone
    • Implantater

    • Proteser

      • Helprotese
      • Delprotese
    • Rotfyllinger

      • Betennelse i nerven
      • Rotfylling
      • Reinfisert rotfylling
      • Rotspissamputasjon
    • Tannkjøttsbehandling

      • Gingivitt
      • Periodontitt
    • Tanntrekking / kirurgi

      • Informasjon før behandling
      • Informasjon etter behandling
    • Vanlige problemer

      • Visdomstenner
      • Ising / børsteskader
      • Syreskader
      • Tanngnissing
      • Tannfraktur
      • Infraksjoner
      • Renhold av tennene
      • Dårlig ånde
      • Munntørrhet
      • Kjeveleddsproblemer
      • Herpes munnsår
      • After
      • Røyking
      • Snus
      • Amalgam
      • Tannlegeskrekk
    • Tenner og graviditet

    • Barn og tannbehandling

      • Første møte med tannlegen
      • Barn og munnstell
      • Tannfrembrudd
      • Traumer mot tenner
    • Tannregulering

      • Tannstillingsfeil
      • Tannregulering
  • Kontakt
    • Hjem
    • Om meg
    • Tannhelseinfo
      • Undersøkelse hos tannlegen

        • Undersøkelse hos tannlegen
        • Sykdom i munnhulen
        • Kostbart hos tannlegen?
        • Helfo - Stønad til tannbehandling
      • Hull i tennene

        • Karies - Hull i tennene
        • Fyllingsterapi
        • Porselensinnlegg
        • Trinnvis ekskavering
      • Estetisk tannbehandling

        • Puss og poléring
        • Tannbleking
        • Utskifting av synlige fyllinger
        • Fasetter
        • Estetisk kroneterapi
      • Kroner / broer

        • Krone
        • Bro
        • Stift / Krone
      • Implantater

      • Proteser

        • Helprotese
        • Delprotese
      • Rotfyllinger

        • Betennelse i nerven
        • Rotfylling
        • Reinfisert rotfylling
        • Rotspissamputasjon
      • Tannkjøttsbehandling

        • Gingivitt
        • Periodontitt
      • Tanntrekking / kirurgi

        • Informasjon før behandling
        • Informasjon etter behandling
      • Vanlige problemer

        • Visdomstenner
        • Ising / børsteskader
        • Syreskader
        • Tanngnissing
        • Tannfraktur
        • Infraksjoner
        • Renhold av tennene
        • Dårlig ånde
        • Munntørrhet
        • Kjeveleddsproblemer
        • Herpes munnsår
        • After
        • Røyking
        • Snus
        • Amalgam
        • Tannlegeskrekk
      • Tenner og graviditet

      • Barn og tannbehandling

        • Første møte med tannlegen
        • Barn og munnstell
        • Tannfrembrudd
        • Traumer mot tenner
      • Tannregulering

        • Tannstillingsfeil
        • Tannregulering
    • Kontakt
    • Bestill time
    Undervalg +
    • Undersøkelse hos tannlegen
    • Hull i tennene
    • Estetisk tannbehandling
    • Kroner / broer
      • Krone
      • Bro
      • Stift / Krone
    • Implantater
    • Proteser
    • Rotfyllinger
    • Tannkjøttsbehandling
    • Tanntrekking / kirurgi
    • Vanlige problemer
    • Tenner og graviditet
    • Barn og tannbehandling
    • Tannregulering
    55 90 14 26
    Hjem / Tannhelseinfo / Kroner / broer / Bro
    Vennligst fyll ut riktig informasjon i markerte felt.

    Send forespørsel

    Vi tar kontakt innen en virkedag

    loader

    Bro & Krone behandling

    Hva er en bro?
    En bro er en tannrestaurering som kan brukes til å erstatte én eller flere tenner.

    Framstilling av en bro
    Dersom én eller flere tenner mangler (fig. I), kan disse i en del tilfeller erstattes ved hjelp av en bro. Tannlegen sliper og former til nabotennene, som skal fungere som feste for broen (fig. II). Det tas deretter et avtrykk før de slipte tennene dekkes med en midlertidig bro. Etter 1-3 uker er den permanente broen ferdig og kan sementeres fast på tennene (fig. III og IV). Broens farge og fasong er tilpasset de andre tennene og resultatet blir derfor pent.

    figur I figur II figur III figur IV
    Prosessen med å lage en bro er krevende og teknisk vanskelig både for tannlegen og tannteknikeren.

    Hva er broen laget av?
    Det finnes flere ulike typer broer og disse har forskjellige egenskaper når det gjelder styrke og estetikk. De to vanligste typene er helkeramiske broer (rene porselensbroer) og broer med en innerkjerne av metall med porselen (keramisk materiale) brent utenpå.

    Hvor lenge varer en bro?
    Det er meningen at en bro skal vare i mange år. Likevel er det en del forhold som kan forkorte broens levetid:
    • Brudd av porselen: En bro blir ved tygging utsatt for store krefter. Uheldige belastninger kan over tid føre til at biter av porselenet knekker av. Dette har normalt ingen praktisk betydning og kan i noen tilfeller repareres. Dersom funksjon eller estetikk forringes vesentlig, kan det være nødvendig å lage en ny bro.

    • Karies: Det kan ikke bli hull i selve broen. Derimot kan det bli hull i tannen nedenfor broens avslutning. Vanligvis kan slike hull repareres med en fylling, men dersom hullet er stort kan broen løsne eller festetennene knekke. Det vil da kunne være nødvendig med ny behandling.

    • Tannsmerter/ rotfylling: En del tenner med dype hull og store fyllinger kan etterhvert få redusert blodsirkulasjon i nerven. De er derfor mer utsatt for betennelser og infeksjoner som kan medføre tannsmerter. Dette gjelder også tenner som er beslipt og påsatt en bro. For å rotfylle en festetann i en bro, må man borre en åpning gjennom broen og inn til nerven. Åpningen tettes igjen med en fylling etter at tannen er ferdig rotfylt.

    For å ta best mulig vare på broen, bør man:

    1. Bruke tannbørste nøye, men skånsomt i tannkjøttskanten slik at tannkjøttet ikke skades og trekker seg tilbake. En slitt tannbørste er lite effektiv. Bytt derfor tannbørsten når busten begynner å sprike.



    2. Holde grundig rent også mellom tennene. Bruk tannstikker, tanntråd/superfloss eller mellomromsbørster mellom tennene i broen. Mellomromsbørster kommer i ulike størrelser og brukes på tilsvarende måte som tannstikker. Tannlegen eller tannpleieren kan finne ut hvilken størrelse du bør bruke.
    .



    3. Unngå småspising mellom måltidene og redusere mengden sukkerholdig kost for å unngå karies i broens festetenner. Skyll også regelmessig med fluorskyll. Fluor styrker tannene og er derfor viktig for forebygging av karies.
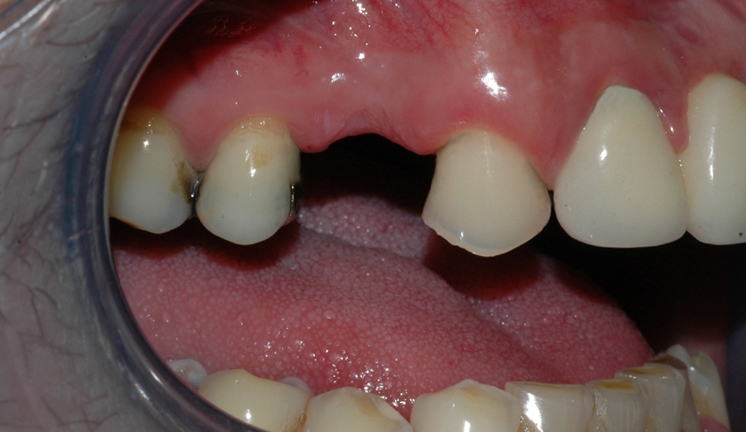
    • bro1_stor 1
      bro1_stor 1

      Bildet viser en manglende tann i overkjeven. Nabotennene har fyllinger og tilfellet egner seg derfor godt for brobehandling.

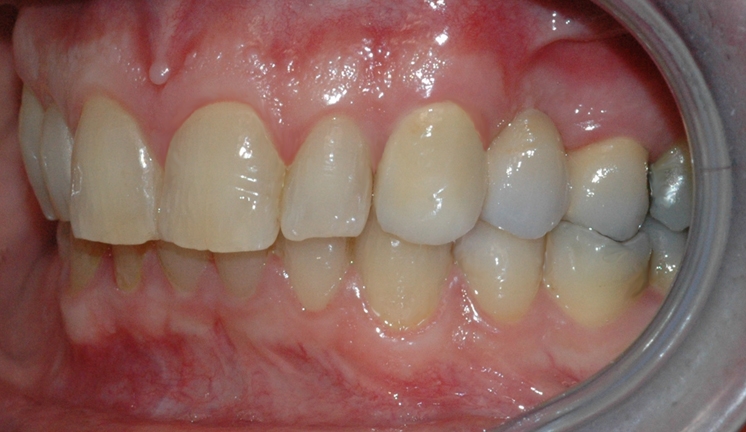
    • bro1_stor2
      bro1_stor2

      Bildet viser at den ferdige broen er sementert på plass. Form og farge passer godt med nabotennene.

    • bro2 stor1
      bro2 stor1

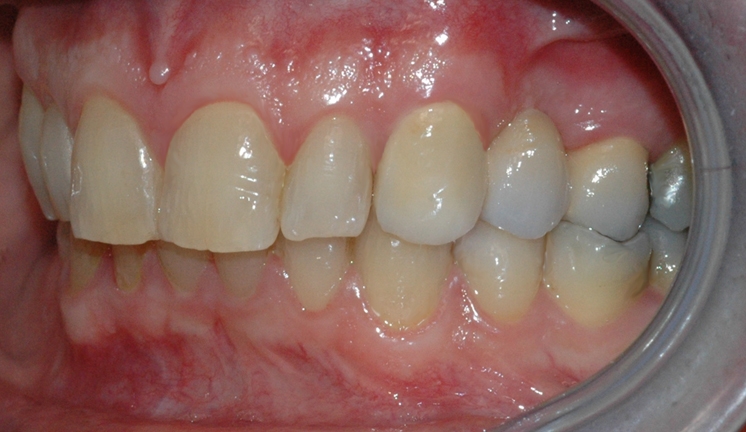
      Bildet viser en manglende tann i overkjeven. Nabotennene har fyllinger og slitasje, og tilfellet egner seg derfor godt for brobehandling.

    • bro2 stor2
      bro2 stor2

      Festetennene slipes og klargjøres for broen.

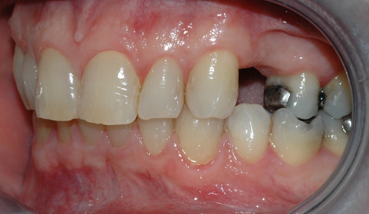
    • bro2 stor3
      bro2 stor3

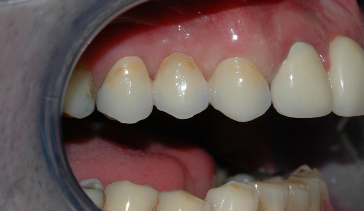
      Bildet viser at broen er sementert fast og klar for bruk.

    close
    Broer
     
    Implantater
     
    Utskifting av fyllinger
     
    Undersøkelse hos tannlegen
     
    Tannpleierens oppgaver
     
    Tannbleking
     
    Sykdom i munnhulen
     
    Skader etter snus
     
    Røykeslutt
     
    Puss og polering
     
    Krone
     
    Herpes
     
    Helfo
     
    Graviditet og tannbehandling
     
    Graviditet og munnhygiene
     
    After
     
    Dårlig ånde
     
    Tannbørsten
     
    Hjelpemidler i hverdagen
     
    Karies (Hull i tennene)
     
    Tanngnissing
     
    Periodontitt
     
    Syreskader
     
    Visdomstenner
     
    Ising/børsteskader
     
    Gingivitt
     
    Rotfylling
     
    Skriv ut
    Sidekart
    • Hjem
    • Om meg
    • Tannhelseinfo
    • Kontakt
    Kontakt
    Markeveien 4C
    5012 Bergen

    Tlf: 55 90 14 26
    post@tannlege-ovstetun.no

    Googlemap
    Søk
    Copyright 2015 Tannlege Kristoffer Øvstetun | post@tannlege-ovstetun.no
    Webdesign og webutvikling av A2N Digitalbyrå/ Reklamebyrå