Meny
Tannlege Kristoffer Øvstetun
Meny
  • Hjem
  • Om meg
  • Tannhelseinfo
    • Undersøkelse hos tannlegen

      • Undersøkelse hos tannlegen
      • Sykdom i munnhulen
      • Kostbart hos tannlegen?
      • Helfo - Stønad til tannbehandling
    • Hull i tennene

      • Karies - Hull i tennene
      • Fyllingsterapi
      • Porselensinnlegg
      • Trinnvis ekskavering
    • Estetisk tannbehandling

      • Puss og poléring
      • Tannbleking
      • Utskifting av synlige fyllinger
      • Fasetter
      • Estetisk kroneterapi
    • Kroner / broer

      • Krone
      • Bro
      • Stift / Krone
    • Implantater

    • Proteser

      • Helprotese
      • Delprotese
    • Rotfyllinger

      • Betennelse i nerven
      • Rotfylling
      • Reinfisert rotfylling
      • Rotspissamputasjon
    • Tannkjøttsbehandling

      • Gingivitt
      • Periodontitt
    • Tanntrekking / kirurgi

      • Informasjon før behandling
      • Informasjon etter behandling
    • Vanlige problemer

      • Visdomstenner
      • Ising / børsteskader
      • Syreskader
      • Tanngnissing
      • Tannfraktur
      • Infraksjoner
      • Renhold av tennene
      • Dårlig ånde
      • Munntørrhet
      • Kjeveleddsproblemer
      • Herpes munnsår
      • After
      • Røyking
      • Snus
      • Amalgam
      • Tannlegeskrekk
    • Tenner og graviditet

    • Barn og tannbehandling

      • Første møte med tannlegen
      • Barn og munnstell
      • Tannfrembrudd
      • Traumer mot tenner
    • Tannregulering

      • Tannstillingsfeil
      • Tannregulering
  • Kontakt
    • Hjem
    • Om meg
    • Tannhelseinfo
      • Undersøkelse hos tannlegen

        • Undersøkelse hos tannlegen
        • Sykdom i munnhulen
        • Kostbart hos tannlegen?
        • Helfo - Stønad til tannbehandling
      • Hull i tennene

        • Karies - Hull i tennene
        • Fyllingsterapi
        • Porselensinnlegg
        • Trinnvis ekskavering
      • Estetisk tannbehandling

        • Puss og poléring
        • Tannbleking
        • Utskifting av synlige fyllinger
        • Fasetter
        • Estetisk kroneterapi
      • Kroner / broer

        • Krone
        • Bro
        • Stift / Krone
      • Implantater

      • Proteser

        • Helprotese
        • Delprotese
      • Rotfyllinger

        • Betennelse i nerven
        • Rotfylling
        • Reinfisert rotfylling
        • Rotspissamputasjon
      • Tannkjøttsbehandling

        • Gingivitt
        • Periodontitt
      • Tanntrekking / kirurgi

        • Informasjon før behandling
        • Informasjon etter behandling
      • Vanlige problemer

        • Visdomstenner
        • Ising / børsteskader
        • Syreskader
        • Tanngnissing
        • Tannfraktur
        • Infraksjoner
        • Renhold av tennene
        • Dårlig ånde
        • Munntørrhet
        • Kjeveleddsproblemer
        • Herpes munnsår
        • After
        • Røyking
        • Snus
        • Amalgam
        • Tannlegeskrekk
      • Tenner og graviditet

      • Barn og tannbehandling

        • Første møte med tannlegen
        • Barn og munnstell
        • Tannfrembrudd
        • Traumer mot tenner
      • Tannregulering

        • Tannstillingsfeil
        • Tannregulering
    • Kontakt
    • Bestill time
    Undervalg +
    • Undersøkelse hos tannlegen
      • Undersøkelse hos tannlegen
      • Sykdom i munnhulen
      • Kostbart hos tannlegen?
      • Helfo - Stønad til tannbehandling
    • Hull i tennene
    • Estetisk tannbehandling
    • Kroner / broer
    • Implantater
    • Proteser
    • Rotfyllinger
    • Tannkjøttsbehandling
    • Tanntrekking / kirurgi
    • Vanlige problemer
    • Tenner og graviditet
    • Barn og tannbehandling
    • Tannregulering
    55 90 14 26
    Hjem / Tannhelseinfo / Undersøkelse hos tannlegen / Undersøkelse hos tannlegen
    Vennligst fyll ut riktig informasjon i markerte felt.

    Send forespørsel

    Vi tar kontakt innen en virkedag

    loader

    Undersøkelse hos tannlegen

    Det anbefales at man får undersøkt tenner og munnhule hos tannlege eller tannpleier regelmessig. Hvor ofte varierer fra person til person, men for de fleste vil en gang per år være tilstrekkelig.

    Klinisk undersøkelse 

    Ved en undersøkelse vil man foreta en grundig kontroll av tenner og tannkjøtt. Tungen, munnhulens slimhinner, samt kjeveledd og tyggemuskler undersøkes også. Slik vil man kunne kartlegge hvilket behandlingsbehov pasienten har, og basert på dette lage en behandlingsplan. En klinisk undersøkelse er likevel ikke nok til å avdekke alle typer sykdom i munnhulen.

    Røntgenbilder

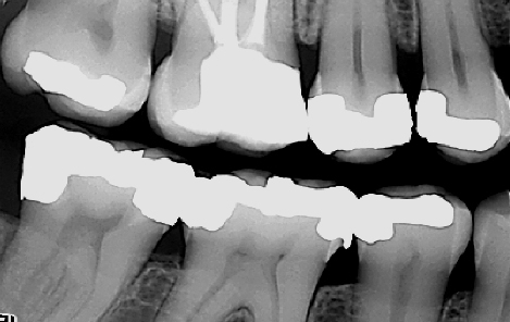
    Derfor må tannlegen også vurdere behovet for å ta røntgenbilder i forbindelse med undersøkelsen. Røntgenbilder brukes for å diagnostisere sykdommer i de deler av tennene som ikke er synlige i munnen. I tillegg kan de avdekke patologi i kjevene. Eksempler på slike sykdommer kan være hull under gamle fyllinger eller kjevecyster. I tillegg kan røntgenbilder tatt over flere år sammenlignes. Slik kan man vurdere hvorvidt en tilstand (for eksempel et begynnende hull) har utviklet seg eller ikke.

    Det finnes forskjellige former for røntgenbilder. Ved en regelmessig undersøkelse er det vanligvis såkalte bitewings som benyttes. Bitewings gir tannlegen informasjon om blant annet hull i tennene, begynnende hull og kvaliteten til gamle fyllinger. De kan også si noe om tennenes feste og avdekke tegn til periodontitt (tannløsningssykdom). Ved behov kan bitewingbildene måtte suppleres med andre småbilder (for eksempel rotbilder) av avgrensede områder.

    Panoramarøntgen (OPG) er en type oversiktsbilde som kan benyttes der behandlingsbehovet er særlig stort. Det kan også være en fordel med OPG ved planlegging av implantatbehandling eller dersom visdomstenner skal opereres ut. Panoramabilder er som regel ikke like detaljerte som de vanlige røntgenbildene. Det kan derfor i enkelte tilfeller være nødvendig å supplere med slike. Stråledosen man blir utsatt for ved røntgenopptak, er med dagens teknologi svært liten. Dette gjelder både for vanlige røntgenbilder og panoramarøntgen.

    Stråledosen man blir utsatt for ved røntgenopptak, er med dagens teknologi svært liten. Dette gjelder både for vanlige røntgenbilder og panoramarøntgen. Det anses derfor ikke som noen helserisiko å ta røntgenbilder, heller ikke for barn eller gravide. Man må likevel huske på at det er frivil­lig å ta røntgenbilder. Om man velger å la være, kan imidlertid resultatet bli at tannlegen ikke kan foreta en god nok undersøkelse av tennene.

    Tannstensfjerning, puss og poléring

    Etter undersøkelsen er det vanlig at tannlegen eller tannpleieren fjerner tannsten og misfarging fra tennene.Tannsten består for det meste av kalkstoffer fra spyttet som avleires og legger seg på tannflaten som et hardt belegg. Det sitter så godt fast at det er nærmest umulig å fjerne på egen hånd med tannbørsten.
     
    Mye av det vi inntar i det daglige kan misfarge tennene. Dette gjelder for eksempel kaffe, te, røyk, snus og rødvin. Slike misfargninger legger seg som et mørkt belegg på tennenes overflate og kan også være vanskelige å fjerne selv.

    Tannlegen eller tannpleieren har derimot mulighet til å fjerne både tannsten og overfladiske misfarginger ved å rense, pusse og polere tennene. Tannstenen fjernes enten med maskin eller ved å skrape den bort med håndinstrumenter. Misfarginger kan poleres bort med en spesiell pussepasta som inneholder ekstra slipemiddel. Alternativt går det an å benytte saltblåsing for å fjerne misfargingene.




    • undersøkelse2
      undersøkelse2

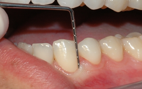
      Tannlegen undersøker hver enkelt tann etter hull og skader

    • undersøkelse3
      undersøkelse3

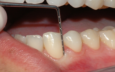
      Tannkjøttet og tennenes benfeste blir vurdert

    • undersøkelse4
      undersøkelse4

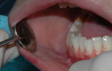
      Tunge og slimhinner kontrolleres for å konstatere at alt er normalt

    • undersøkelse5
      undersøkelse5

      Kjeveledd og tyggemuskulatur kontrolleres også. Dette er spesielt viktig dersom pasienten er plaget med tanngnissing og spenningshodepine

    • undersøkelse6
      undersøkelse6

      Røntgenbilder viser blant annet begynnende hull, behandlingskrevende hull, gamle fyllinger og tennenes benfeste

    close
    Undersøkelse hos tannlegen
     
    Implantater
     
    Utskifting av fyllinger
     
    Tannpleierens oppgaver
     
    Tannbleking
     
    Sykdom i munnhulen
     
    Skader etter snus
     
    Røykeslutt
     
    Puss og polering
     
    Krone
     
    Herpes
     
    Helfo
     
    Graviditet og tannbehandling
     
    Graviditet og munnhygiene
     
    Broer
     
    After
     
    Dårlig ånde
     
    Tannbørsten
     
    Hjelpemidler i hverdagen
     
    Karies (Hull i tennene)
     
    Tanngnissing
     
    Periodontitt
     
    Syreskader
     
    Visdomstenner
     
    Ising/børsteskader
     
    Gingivitt
     
    Rotfylling
     
    Skriv ut
    Sidekart
    • Hjem
    • Om meg
    • Tannhelseinfo
    • Kontakt
    Kontakt
    Markeveien 4C
    5012 Bergen

    Tlf: 55 90 14 26
    post@tannlege-ovstetun.no

    Googlemap
    Søk
    Copyright 2015 Tannlege Kristoffer Øvstetun | post@tannlege-ovstetun.no
    Webdesign og webutvikling av A2N Digitalbyrå/ Reklamebyrå